INCREÍBLE
VÍDEO: Así es la sorprendente ecografía de un feto de tiburón moviéndose dentro del útero de su madre
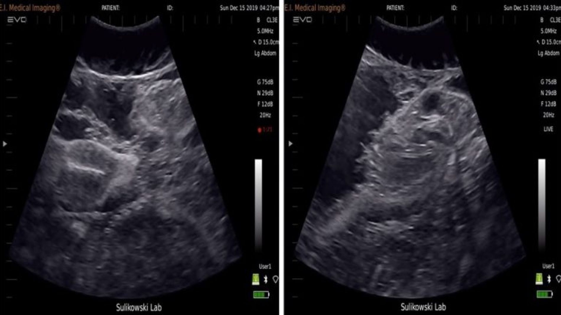
Un grupo de científicos ha grabado las espectaculares imágenes de un ultrasonido de un tiburón tigre no nacido que se retuerce en el interior del útero de su madre.
Publicidad
Aquí hay un tiburón bebé que nunca te vas a casar de mirar: este increíble escáner de embarazo muestra a un pequeño tiburón bebé que se retuerce mientras está dentro del útero de su madre.
Las asombrosas imágenes fueron capturadas por un equipo de expertos que estudian la conservación de tiburones y se propusieron descubrir por qué tantos tiburones tigre estaban llenando una playa en particular.
Utilizando tecnología punta, el equipo, liderado por el experto en tiburones Dr. Neil Hammerschlag, director del Programa de Investigación y Conversión de Tiburones en la Universidad de Miami, y el profesor de Biología Marina en la Universidad Estatal de Arizona, Dr. James Sulikowski, logró atrapar y escanear cinco tiburones mientras estaban en la naturaleza.
Un equipo de ocho personas atrapó tiburones mientras navegaba en Tiger Shark Bay, en las Bahamas. Sostenian a los tiburones cerca de su bote usando correas y el Dr. Sulikowski usó un ultrasonido portátil para escanear los animales.
La expedición, que tuvo lugar en diciembre, proporcionó información valiosa sobre el movimiento de los tiburones y ayudará a su conservación.
El Dr. Sulikowski dijo: "Realizar los escaneos fue absolutamente increíble. Es brutal poder usar tecnología que una vez estuvo confinada a un laboratorio en medio del océano".
En los últimos tiempos hay informaciones que avisan del aumento de tiburones tigre en una bahía en Bahamas que se conoce como Tiger Sharks Bay y que es muy popular entre turistas y buzos.
Los expertos temían que el aumento en el número de tiburones en el área durante algunos meses estuviera influenciado por el comportamiento de los humanos, ya que los tiburones son alimentados a propósito allí para que los turistas puedan bucear junto a ellos.
VER MÁS: ¡Rodeado en medio del mar!

VER MÁS: ¡Terrorífico!

Publicidad





