IMÁGENES EXPLÍCITAS
Operan de urgencia a un joven de 15 años que se había metido un cable USB por la uretra para medir su pene por dentro
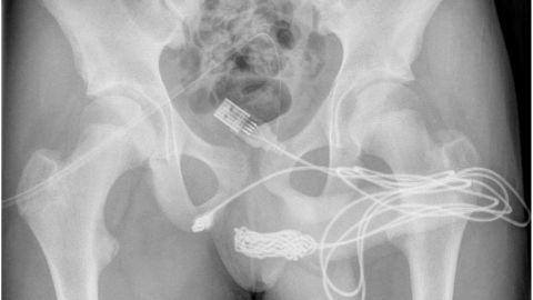
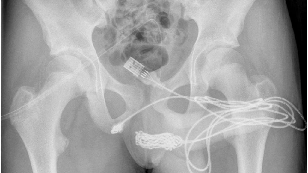
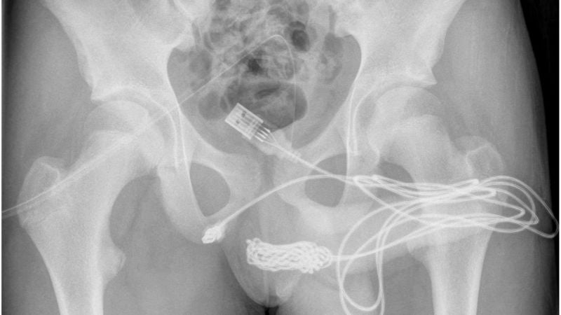
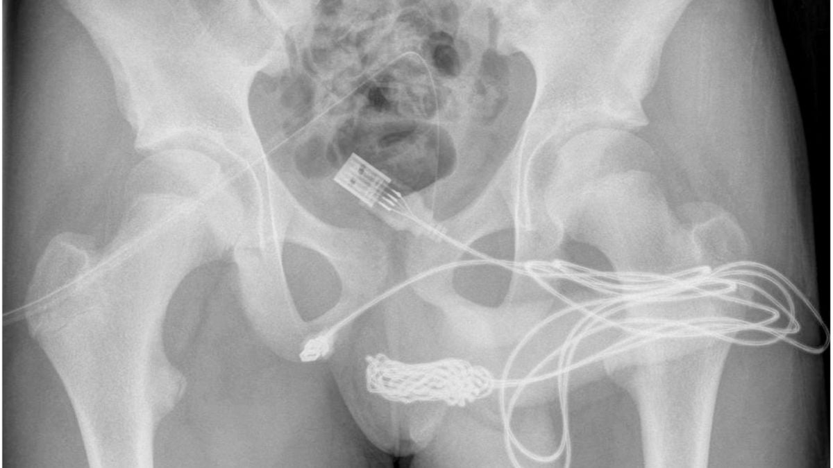
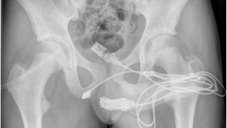
Un adolescente de 15 años ha sido intervenido de urgencia en Reino Unido después de introducirse un cabe USB por el pene según explica la revista médica Urology Case Reports en un informe con impactantes imágenes.

Publicidad
Un adolescente de 15 años anónimo de Londres, Reino Unido, se sintió impulsado por su curiosidad sexual y decidió hacer un experimento de insertar el cable USB en su pene para medir su longitud. Sin embargo, fracasó cuando el cable se atascó en su escroto.
Intentó quitárselo él mismo, pero el cable USB se enredó aún más y los dos extremos quedaron colgando de su pene. Al final el joven tuvo que acudir a urgencias y terminó sometiéndose a una cirugía de emergencia para retirar el cable USB. Su caso fue detallado en el artículo, titulado "Autoinserción uretral de un cable USB como experimentación sexual: informe de un caso", que se publicó en la revista médica Urology Case Reports junto con las impactantes imágenes.
Los padres del adolescente se vieron obligados a llevarlo a la sala de emergencias después de que orinó sangre debido al cable USB atascado en su pene. El personal del hospital no pudo retirarlo al principio, por lo que transfirieron al niño al University College Hospital de Londres para que recibiera la cirugia necesaria.
Los médicos tuvieron que cortar el músculo bulboesponjoso, el área entre los genitales y el ano, para sacar el cable USB. Pero no pudieron pasar la parte anudada del cable a través de ese corte antes de sacar las piezas restantes del cable eléctrico. Afortunadamente, el niño no necesitó más tratamiento y fue dado de alta al día siguiente.
Los expertos escribieron en el periódico que el adolescente pidió ser examinado sin sus padres. Pero dijo que el niño no mostraba evidencia de trastorno psiquiátrico y señaló la causa del incidente como "experimentación".
"Esto constituyó otro caso de curiosidad sexual que resultó en una emergencia urológica desafiante, manejada de manera efectiva con cirugía abierta y sin complicaciones a corto plazo", escribieron.
El adolescente tuvo que regresar al hospital después de dos semanas para un chequeo de seguimiento y requerirá más monitoreo en el futuro. Los médicos advierten que introducir cosas en el pene a través de la uretra es un comportamiento riesgoso que podría provocar un agujero en la vejiga, orinar sangre y erecciones dolorosas.
Publicidad





